芽孢杆菌
的有关信息介绍如下:
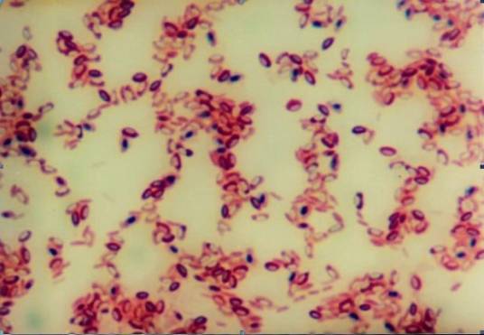
芽孢杆菌属(Bacillus),细菌的一属,能形成芽孢(内生孢子)。它们对外界有害因子抵抗力强,分布广,存在于土壤、水、空气以及动物肠道等处。
芽孢杆菌属细菌较大(4~10μm),革兰氏阳性、是严格需氧或兼性厌氧的有荚膜的杆菌。该属细菌的重要特性是能够产生对不利条件具有特殊抵抗力的芽孢。芽孢杆菌属可分为以下亚群:多黏芽孢杆菌、枯草芽孢杆菌(包括蜡样芽孢杆菌和地衣芽孢杆菌)、短芽孢杆菌和炭疽芽孢杆菌 。
芽孢杆菌具有耐高温、快速复活和较强分泌酶等特点,在有氧和无氧条件下都能存活。在营养缺乏、干旱等条件下形成芽孢,在条件适宜时又可以重新萌发成营养体 。
想要了解更多“芽孢杆菌”的信息,请点击:芽孢杆菌百科



